Dental Implants
Board-Certified | Over 50 Years' Combined Experience | State-of-the-Art Equipment
Board-CertifiedOver 50 Years' Combined ExperienceState-of-the-Art Equipment
Dental Implants
We are all expertly trained in advanced dental implant procedures to restore your oral comfort and function. These procedures include immediate implant loading to reduce treatment time and discomfort, implant stabilization of denture appliances, and sinus lifts to provide greater bone stability.
One of our highest priorities is patient education. During an initial examination and consultation, they will discuss all options for treatment and help you come to an informed decision. Please do not hesitate to voice any questions you may have.
Dental implants are today's treatment of choice for replacing missing teeth. They are long lasting, natural in appearance, and promote jaw health. By working closely with your dentist, we hope to provide you with a functional and esthetic replacement tooth that will last for a very long time.
A natural tooth is anchored into the jawbone by its root. Tooth roots attach firmly to the jawbone and keep your teeth stable when chewing.
Traditionally, if you were missing a tooth, or if one needed to be extracted, the healthy teeth on either side of the missing tooth would be cut down and used as supports. A three unit “bridge” would then be inserted to restore the supporting teeth and replace the missing tooth. Because all three teeth are one single piece, a bridge can be difficult to clean and presents other challenges as well.
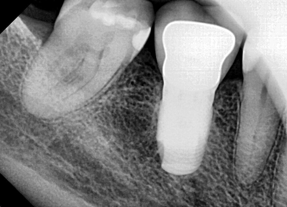
Dental implants are the modern alternative. Instead of cutting down two perfectly healthy teeth, your periodontist inserts a dental implant into the jawbone to replace your missing tooth root. As it heals, the implant becomes solidly fixed into your jawbone (a process called osseointegration). Once the implant is ready, your referring dentist then places a crown onto this dental implant that looks, feels, and functions like your natural tooth. Dental implants stand alone and do not rely on your natural teeth for support.
Put simply, dental implants are the most natural replacement for missing teeth.
Multiple Tooth Replacement
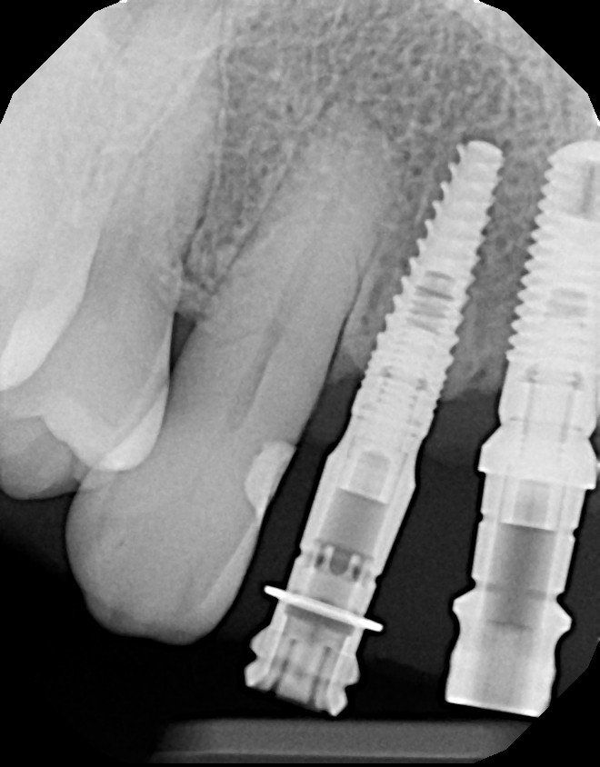
When you're missing several teeth, you have the option of replacing them with a removable partial denture, individual implant supported crowns , implant supported bridges or even a full arch restoration.
Depending on the situation, your periodontist may recommend that a dental implant be placed to replace each missing tooth. This allows the teeth to function naturally as individual units, or be connected together for increased strength. Our treatment plans are always customized to your specific needs and are based on a number of factors including your jaw strength, bite, number of missing teeth, and bone quality, to name a few.
Sometimes, an implant to replace every missing tooth is not needed or even possible. In these situations, an implant supported bridge may be recommended. An implant supported bridge is a structure similar to a traditional dental bridge, with the exception that it is supported by implants rather than natural teeth. It is generally accepted that two implants can hold a three tooth bridge, three implants can hold a four or five tooth bridge and four to eight implants are required to hold longer bridges or full-arch bridges.
Major and Minor Bone Grafting
Over time, the jawbone associated with missing teeth atrophies or is reabsorbed, leaving a condition in which there is poor quality and quantity of bone sufficient for placement of dental implants. In situations like this, most patients are not candidates for dental implants.
However, today we have the ability to grow bone where needed, which gives us the opportunity to place implants of proper length and width and restore functionality and aesthetic appearance.
We use advanced bone grafting including L-PRF and multiple advanced techniques. We also use cone beam cat scan, a state-of-the-art three procedural imagining for procedural planning. Contact us
today to learn more!
Major Bone Grafting
Bone grafting is used to repair implant sites with inadequate bone structure due to prior extractions, gum diseases, or injuries. We can obtain the bone from a tissue bank or from your own jaw, hip, or tibia (below the knee). Sinus bone grafts are also performed to replace bone in the posterior upper jaw. Additionally, special membranes can be utilized that dissolve under the gum and protect the bone graft and encourage bone regeneration; a process called guided bone regeneration or guided tissue regeneration.
Major bone grafts are usually performed to repair defects of the jaws. These can arise as a result of traumatic injuries, tumor surgery, or congenital defects. Large defects are repaired using your own bone. Depending on the size of the defect, this bone is harvested from a number of different sites. Common donor site include the skull (cranium), hip (iliac crest), and lateral knee (tibia). These procedures are routinely performed in an operating room and require a hospital stay. Discuss your treatment options with Quad County Oral & Maxillofacial Surgery today!
Sinus Lift Procedure
The maxillary sinuses are located behind your cheeks and on top of the upper teeth. Some of the roots of the natural teeth extend up into the maxillary sinuses. When these teeth are removed, there is typically just a thin wall of bone separating the maxillary sinus and the mouth. Dental implants require bone to hold them in place, but it is impossible to place dental implants in this bone.
A sinus graft or sinus lift graft is the solution. The surgeon enters from a sinus where the upper teeth used to be, and the sinus membrane is lifted up for bone to be inserted into the floor of the sinus. The floor of the sinus is the roof of the upper jaw. After months of healing, the bone becomes part of the jaw and dental implants can then be inserted in the new sinus bone.
The sinus graft makes it possible for patients whose only other option is to wear loose dentures. If enough bone is available between the upper jaw ridge and the bottom of the sinus to stabilize the implant, sinus augmentation and implant placement may be able to be performed as a single procedure. If not enough bone is available, the sinus augmentation is performed first, then the graft matures for several months depending on the type of graft material used. Once the graft has matured, implants can be placed.
Ridge Expansion
A severe case means the jaw ridge has been reabsorbed and a bone graft must be placed to increase ridge height and/or width. This technique is used to restore the lost bone dimension when the ridge gets too thin to place traditional implants. This procedure literally expands the jaw by mechanical means. Bone graft material is placed and matures for a few months before the implant is placed.
Bone Morphogenic Protein (BMP)
Bone morphogenic protein (BMP) is an isolated protein that induces specific cells to form new cartilage and bone. The BMP is soaked onto and binds with a collagen sponge during surgery. Over time, the sponge will resorb, or disappear. As the sponge dissolves, the BMP stimulates the cells to produce new bone. The BMP will go away once it completes its task of jump starting the bone healing process.
Recipients experience no donor site pain since there is no need to harvest bone from the patient's hip in this process. This process also eliminates complications from the graft harvest site.




Share On: